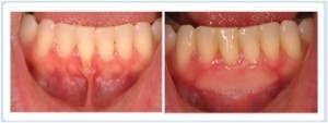
Gum Grafting
A gum graft is a collective name for surgical procedures that aim to either 1) cover an exposed root surface and/or 2) thickening remaining gums so that recession does not progress. Exposed roots are usually the result of gingival recession. Gingival recession is most often caused by aggressive brushing, trauma, poor oral hygiene, tooth position and other anatomical factors. A few of the major benefits associated with gum grafting include reduced sensitivity, improved appearance with less root visible, and improved gum health.

Back