Crown Lengthening
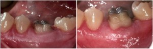
Crown lengthening is commonly performed to expose more of the natural tooth by reshaping or re-contouring bone and gum tissue. It can be performed for a single tooth or many teeth in an area. If a tooth is decayed, broken below the gum line or simply has insufficient tooth structure for a restoration, crown lengthening is performed first and then the tooth can be restored back to function.

Back